Have you ever reveled in the cool comfort of your grandparents’ old basement, surrounded by dusty boxes and forgotten treasures? Or perhaps you’ve swung a hammer at a stubborn wall in your fixer-upper, sending plumes of unexpected debris into the air.

These seemingly harmless moments might hold a hidden danger—a silent threat lingering in the unseen corners of our built environment. Asbestos, a once-celebrated wonder material, now casts a life-threatening shadow. Its microscopic fibers are a potential time bomb for unsuspecting victims.
This seemingly innocuous dust, often found in older buildings and homes, can infiltrate your lungs with each unwitting breath. The consequences? A range of devastating diseases, that may take years, even decades, to emerge. This isn’t a threat relegated to dusty attics or abandoned factories.
Asbestos can lurk in unexpected places—popcorn ceilings, vinyl flooring, even your daily commute through aging tunnels. In this blog, we will provide you with the information you need to identify the risks of asbestos exposure in your daily life.
Understanding Asbestos Exposure and Its Health Impacts
This naturally occurring mineral, once praised for its remarkable properties, now carries a dark secret. Its remarkable heat and chemical resistance made it a staple in construction, automotive, and industrial applications for decades.
If asbestos fibers enter the lungs or digestive system, they can settle there, leading to a chain reaction of harmful health problems. As TorHoerman Law warns, these microscopic fibers can penetrate deep into the lungs, leading to scarring, inflammation, and eventually, the development of life-threatening diseases.
The severity and latency of asbestos-related illnesses are influenced by a variety of factors, like:
- The type of asbestos
- The concentration of fibers
- The duration of exposure
Additionally, individual susceptibility, based on factors like genetics and overall health, can also impact the onset and progression of these diseases.
Cumulative exposure is a significant concern, as even low-level exposures over an extended period can increase the risk of developing asbestos-related conditions.
This is particularly worrisome for individuals who have worked in industries with high asbestos use, such as construction, shipbuilding, or automotive repair, or those who have lived in old buildings with asbestos-containing materials.
Understanding these fundamental aspects of asbestos exposure is the first step toward recognizing the gravity of this public health crisis.
Mesothelioma: The Deadliest Asbestos-Related Cancer
In the United States alone, mesothelioma casts a grim shadow, with an estimated 3,000 new cases diagnosed annually. This translates to a staggering mortality rate, with roughly 2,500 individuals succumbing to the disease each year.
This aggressive form of cancer arises from a specific cell type, the mesothelial cells, which act as a protective lining for various internal organs. The pleura, enveloping the lungs, and the peritoneum, lining the abdominal cavity, are the most frequent sites of mesothelioma development.
A particularly concerning aspect of this malignancy is its delayed presentation. The disease often progresses silently, hindering timely diagnosis until a more advanced stage is reached. This underscores the importance of awareness and early detection strategies for mesothelioma.
The early symptoms, such as chest pain, shortness of breath, and unexplained weight loss, can be easily mistaken for more benign conditions, further complicating the path to proper treatment.
Uncovering the roots of this cancer is crucial. Pleural mesothelioma, the most prevalent form, is directly linked to the inhalation of asbestos fibers. Peritoneal mesothelioma, on the other hand, is associated with the ingestion of asbestos, often through contaminated food or water.
Despite the grim prognosis associated with mesothelioma, researchers continue to push the boundaries of treatment. From innovative surgical approaches to targeted drug therapies—the medical community aims to provide hope and improve outcomes for those battling this asbestos-driven malignancy.
This cancer, like many other cancers, might seem congruent with the overall rise in cancer cases. However, Mesothelioma does warrant stricter action. There are many, who have their dear ones affected by this disease, but have a lingering question, “Can I sue for asbestos exposure?”
The answer is a resounding yes. You can file an asbestos exposure lawsuit against any responsible party. If your home is very old, you can sue your owner if remediation measures were not taken all this while.
Asbestos-Related Lung Cancer
According to the American Cancer Society, asbestos exposure is strongly linked to lung cancer.
Unlike smoking-related lung cancers that primarily target the outer regions of the lungs (peripheral areas), asbestosis manifests through a distinct pathological process.
Chronic inhalation of asbestos fibers over an extended period triggers a progressive fibrotic response within the lungs. This response leads to scar tissue formation and stiffening of the lung parenchyma, the functional tissue responsible for gas exchange.
Symptoms mimic other lung cancer types, including persistent cough, wheezing, unexplained weight loss, and breathing difficulties. The underlying cause determines the appropriate treatment.
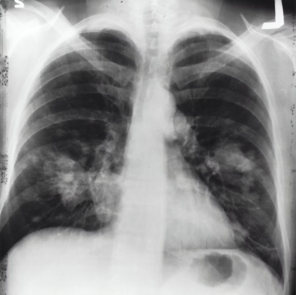
Radiographic findings, such as irregular lung opacities and pleural thickening, aid in the diagnosis of asbestosis. The severity is directly linked to the cumulative asbestos exposure.
Managing asbestosis presents challenges, as there is no cure. Supportive care, including oxygen therapy and lung transplantation in advanced cases, aims to alleviate symptoms and improve quality of life.
Early recognition of asbestosis and minimizing further asbestos exposure are crucial. Proactive measures can help mitigate the devastating respiratory distress caused by this insidious lung disease.
Laryngeal Cancer: Throat Malignancy
While the connection between asbestos exposure and lung-related diseases is well-established, the links between asbestos and cancers of the larynx, or voice box, are also cause for concern. Laryngeal cancer has been identified as an additional asbestos-related malignancy that can have devastating consequences for those affected.
The inhalation of asbestos fibers can lead to the development of cancerous growths in the delicate tissues of the larynx. It often manifests through symptoms such as hoarseness, difficulty swallowing, and unexplained throat pain.
Paralleling the approach to other asbestos-induced malignancies, the timely identification of laryngeal cancer is paramount. Early detection facilitates the implementation of more efficacious treatment strategies before the disease advances to a more aggressive stage.
This window of opportunity allows for a more targeted and potentially curative approach, maximizing the likelihood of a successful outcome
Pleural Disorders: Scarring and Fluid Buildup in the Chest Cavity
Asbestos exposure can lead to a range of debilitating pleural disorders, including pleural effusions, pleural plaques, and diffuse pleural thickening. These conditions involve abnormal fluid accumulation or the scarring and hardening of the pleural membranes that line the lungs and chest cavity.
Pleural disorders can manifest through a constellation of respiratory signs and symptoms. Individuals may experience pleuritic chest pain, a sharp or stabbing discomfort that worsens with inhalation or coughing.
Shortness of breath, or dyspnea, is another frequent indicator, often described as a feeling of air hunger or an inability to take a deep breath. Additionally, some pleural disorders can compromise lung function, leading to impaired gas exchange and reduced exercise tolerance.
Early detection of pleural abnormalities is crucial. This facilitates timely medical intervention and the application of suitable management approaches.
Undergo routine chest imaging to detect pleural changes early. Avoid disturbing suspected asbestos-containing materials and consult professionals for proper assessment and remediation. Support policies that mandate comprehensive asbestos identification and removal in homes, schools, and workplaces to safeguard public health.
As we have explored, the devastating consequences of asbestos exposure are manifested in a range of debilitating and life-threatening diseases. These conditions have robbed countless individuals of their health, their livelihoods, and their futures.
Yet, amidst the somber reality, there is a glimmer of hope. By enhancing our understanding of these asbestos-related diseases and their telltale symptoms, we can empower individuals to seek timely diagnosis and access to appropriate medical care.
Moreover, it is time we raise awareness and demand accountability from those responsible for asbestos exposure. As we continue to navigate this complex and deeply personal issue, let us remain steadfast in our commitment to protecting the health and well-being of our communities. Together, we can break the cycle of asbestos-related diseases and pave the way for a safer, healthier world for all.

You must be logged in to post a comment.